고관절

고관절 통증의 원인을 진단하고 1:1 맞춤 치료를 시행합니다.

대퇴골 경부골절

대퇴골 경부골절

대퇴골 경부골절이란?

골절
  • 고관절’이란 ‘엉덩이관절’이라고도 하며, 골반과 대퇴골을 잇는 관절로 우리 몸의 상체와 하체를 연결해주는 관절 부위입니다. 또한, 체중을 지탱하고 걷 기와 달리기 같은 다리의 운동 기능을 담당하고 있습니다. 때문에 우리 신체 에 있어 굉장히 중요한 관절입니다.

대퇴골 경부골절 증상

  • 증세는 심한 통증과 함께 외관상 변형과 종창, 단축 등이 나타나게 됩니다. 갑자기 많이 부어오른 경우 허벅지 안에서 일어난 출혈일 가능성이 있으므로 합병증으로 쇼크, 지방색전증 등이 발생할 수 있습니다. 따라서 혈관·신경 등의 손상이나 골반·고관절·무릎관절 등도 함께 손 되었는지 확인해야 합니다.

진단 및 검사

  • X-ray 촬영
  • 전산화 단층 촬영(CT)
  • 자기공명영상(MRI)

치료법

  • 다발성 핀 고정술
  • 압박 고나사 고정술
  • 골수강내 고정술
  • 대퇴골 절골술
  • 인공관절치환술

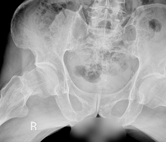
수술 전 후 방사선 사진

수술 전
  • 고관절골절_수술 전
화살표
수술 후
  • 고관절골절_수술 후
수술 전
  • 고관절골절_수술 전
화살표
수술 후
  • 고관절골절_수술 후
e-IRB 바로가기